絶滅危惧種?!超短毛犬種『日本テリア』のブログ
予定日まで1週間ほどになり、エコー検査の時期到来☆
ってな訳で、非常勤で行ってる専門学校にて
学生の教材としてエコー検査を行ってきました(笑)
大勢の生徒が息を飲み見つめる中、
診察台の上で仰向けにされる透風。
この母体に掛った緊張感やストレスが、
どのように胎児へ影響するかは未知。
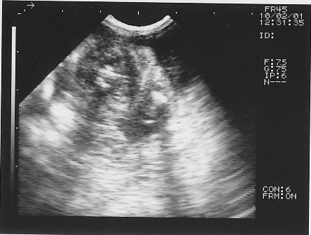
胎児の心臓や肝臓、肋骨に至るまでが写り~の
最後に希望の生徒だけに、心音を聞いてもらい~の
今回のエコーで、3頭のパピーが確認できました。
後は無事に生まれる事に全力で挑むだけです☆
来週早々には生まれる予定です♪
※パピーの譲渡先に関しましては全て決まっており
募集はしておりませんのでご了承くださいませ。


ってな訳で、非常勤で行ってる専門学校にて
学生の教材としてエコー検査を行ってきました(笑)
大勢の生徒が息を飲み見つめる中、
診察台の上で仰向けにされる透風。
この母体に掛った緊張感やストレスが、
どのように胎児へ影響するかは未知。
胎児の心臓や肝臓、肋骨に至るまでが写り~の
最後に希望の生徒だけに、心音を聞いてもらい~の
今回のエコーで、3頭のパピーが確認できました。
後は無事に生まれる事に全力で挑むだけです☆
来週早々には生まれる予定です♪
※パピーの譲渡先に関しましては全て決まっており
募集はしておりませんのでご了承くださいませ。
PR
リンク
アクセス解析
ブログ内検索
最新コメント
[07/19 ぎんすけ]
[04/14 すっちー]
[04/14 そのっち]
[04/09 すっちー]
[03/28 そのっち]
